齒顎矯正介紹

英才牙醫診所 矯正專科 林昇進醫師
Q:為何要接受齒顎矯正治療?

齒列不正除了影響美觀,影響自信,並易有蛀牙及牙周病的發生,咀嚼功能不好消化吸收不良,說話發音不準,以及臉型不好看,且有可能造成顎關節的問題。

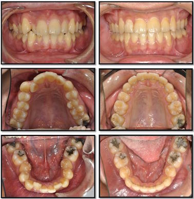
-牙齒排列:

-外觀改善:

-咬合改善:

-齒列調整以利假牙製作 咀嚼功能改善:


Q:何時作矯正最好?

不管是小孩或大人,作矯正都有其效果,重點在於病患的訴求。畢竟每個人的 骨骼牙齒個別差異性很大,最好的方法,就是帶去給矯正醫師評估。同時可以請 矯正醫師依照個人的狀況,制定個人化的矯正計劃,除了可清楚地了解矯正所需 的時間,同時也可預估出矯正所需之經費。
但是如果是有一些特殊的狀況,則需要早期治療,更多請閱讀 此篇文章

Q:矯正一般需要治療多久?

不拔牙案例約1年至1年半,拔牙案例通常需兩年左右,但有些較困難案例要到二、三年都屬正常,中間每3-4星期就診一次。

個人的差異性及困難度,是影響時間的主因。

小孩因骨頭未完全成熟,牙齒通常比大人容易排列整齊,時間也較短。
病患以良好的態度與醫生密切配合,所花的時間也會較短。
治療完成後還需每3-6個月回診,順便作定期的口腔檢查。

Q:矯正為什麼要照X光片?

-環口X光片的目的有下列幾點:
1.是否有蛀牙
2.牙齒的角度
3.檢測牙周是否健康
4.牙齒數目是否正常(是否有先 缺牙或多生牙)
-側顱X光片的目的評估齒槽骨、顎骨、牙齒、臉型...等等 是否可互相搭配。 醫師再根據上列X光片- 環口X光片 側顱X光片為基礎做整體性的考量,以訂定一個全方位的矯正治療計畫,確保病人能有最好的治療成果

Q:矯正是否要拔牙?

拔不拔牙是矯正醫師根據患者X光片,骨頭狀態,牙齒位置,角度,方向,臉型,及牙齒雜亂的程度作全方考量,才決定是否拔牙,並非矯正一定要拔牙。

Q:迷你骨釘是什麼?

傳統的矯正治療常常以後牙、鄰近穩定的牙或是口外矯正裝置充當矯正錨定(不動的支撐點)來排列牙齒。然而有些病患牙齒缺失,牙齒因罹患牙周病支持組織不夠或是成年矯正病患不方便配戴口外矯正裝置,矯正的錨定不足會影響矯正的效果、時間與穩定性。目前臨床技術發展出將迷你骨釘放在牙床上,提供矯正時額外的錨定,提高了矯正的方便性與效果。
更多關於迷你骨釘的介紹,請閱讀 此篇文章

Q:不同矯正器該如何選擇?

其實矯正器都有將牙齒排列整齊的功能,但是像自鎖式矯正器的設計可以降低摩擦力降低不適感,且可以達到快速排齊的效果。透明矯正器則是較傳統金屬矯正器更為美觀。
而現在更有隱形矯正的方式,更多請閱讀 此篇文章

Q:牙齒排整齊之後要如何維持呢?

在移除口中的矯正器後並不表示治療已完成,還需要一段所謂的「維持期」。「維持期」的目的是穩定既得的成果,此時通常需裝置「維持器」。使用維持器的時間,通常建議拆除矯正器半年內全天配戴, 之後晚上睡覺時配戴即可。